The EMRA offices will be closed for the upcoming holidays from Wednesday, December 24, 2025 until Monday, January 5, 2026.

Douglas D. Campbell, MD

DougCampbell.jpg

Fellowship (Critical Care Medicine): University of Colorado
Residency: University of Massachusetts
Medical school: West Virginia University

ECMOedited.jpg
Extracorporeal cardiopulmonary resuscitation (ECPR) involves the application of percutaneous veno-arterial extracorporeal membrane oxygenation (VA-ECMO) for management of cardiac arrest in the emergen
46-1 Cerebrovascular System.jpg
BCVI is a relatively rare diagnosis, but this does not take away from the importance of considering it during the initial evaluation of all trauma patients.
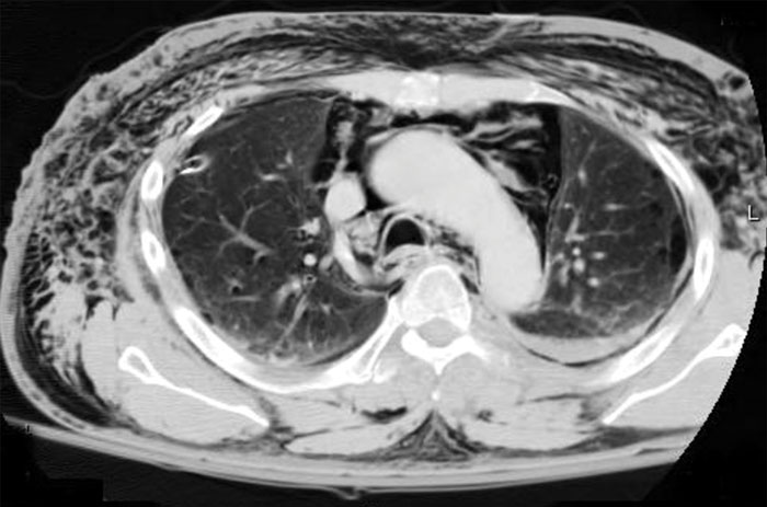
Clinical-Pneumomediastinum.jpg
Diagnosis and Treatment of Pneumomediastinum A 22-year-old female arrives in your trauma bay in respiratory distress. She appears slightly anxious and is mildly tachypneic. Vital signs are as follows
CHAT NOW
CHAT OFFLINE