Browsing: Critical Care

CCA-Andromeda Shock 2 Trial.jpg
Following an initial 2019 study, the ANDROMEDA-SHOCK-2 Trial looks at outcomes when applying a personalized hemodynamic resuscitation strategy for critically ill patients. This Critical Care Alert cha
ECMO-in-Salicylate-Toxicity.jpg
Salicylate toxicity can present with vague symptoms that rapidly escalate into a life-threatening condition. This case highlights the catastrophic consequences of severe salicylate toxicity and the ch
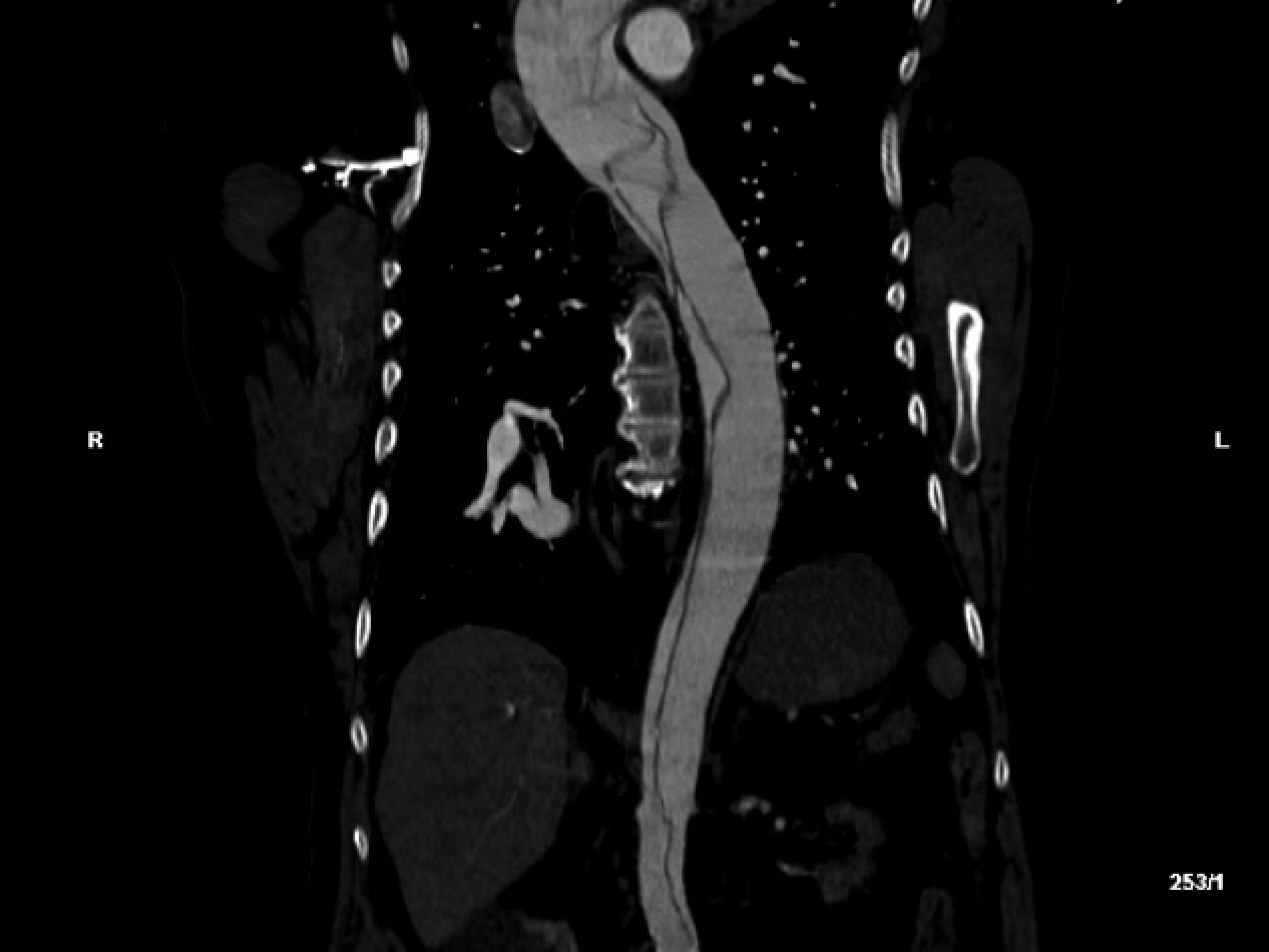
Aortic Dissection - Sagittal.png
Acute aortic dissection may present atypically, often without the classic "tearing" chest or back pain. Instead, patients may present with syncope, neurologic deficits, pulse deficits, referred pain,
Missed-TTM-Brugada-Syndrome-Featured-Image.jpg
Sudden cardiac arrest (SCA) in young, otherwise healthy individuals without underlying cardiovascular disease represents one of the most challenging scenarios in emergency resuscitation. In this patie
Pseudo SAH - cervical medial branch block.png
This case report explores the evidence behind recognizing and treating conditions caused by gadolinium-based contrast agents — including pseudo-subarachnoid hemorrhage.
Facetime-Resuscitation-Featured-Image.jpg
Life-threatening emergencies can occur when patients’ family are not present, making critical decision-making more difficult. What role does FaceTime play in this situation? What are the legalities su
Angiotensin-Refractory-Shock-Featured-Image.jpg
Refractory shock is commonly managed with vasopressin, but it carries the risk of adverse side effects. Angiotensin II (Ang II) is gaining recognition as an alternative therapy.
Paroxysmal-Sympathetic-Hyperactivity.jpg
Paroxysmal Sympathetic Hyperactivity (PSH) describes the dysregulation of the sympathetic nervous system. This disease process typically occurs in the setting of severe acquired brain injury, which ca
LAVA-ECMO.jpg
LAVA-ECMO offers hemodynamic benefits as an advanced unloading strategy with venting capabilities. However, broader adoption will require prospective studies to validate its safety and efficacy in div
RIC Placement Video.png
High-volume fluid and blood product administration is often a cornerstone of managing critically ill patients in the emergency department. This Critical Care Device Series entry explains the rapid inf