Browsing: Sports Medicine

Concussion Guideline Review.jpg
An estimated 1.6 to 3.8 million sports-related concussions occur annually in the United States, a number that has steadily risen over the past two decades. Reflecting on the latest developments, the 6
SIPE Image 1.jpeg
Swimming-induced pulmonary edema—SIPE—is a rare and not well-understood phenomenon, most common among military and athletes. Emergency physicians, event medicine staff, and prehospital care teams shou
Surf Med Art.jpg
As the popularity of surfing grows, the incidence of surf injuries — both minor and traumatic — will increase accordingly. Knowledge and awareness about the breadth of potential injuries is essential
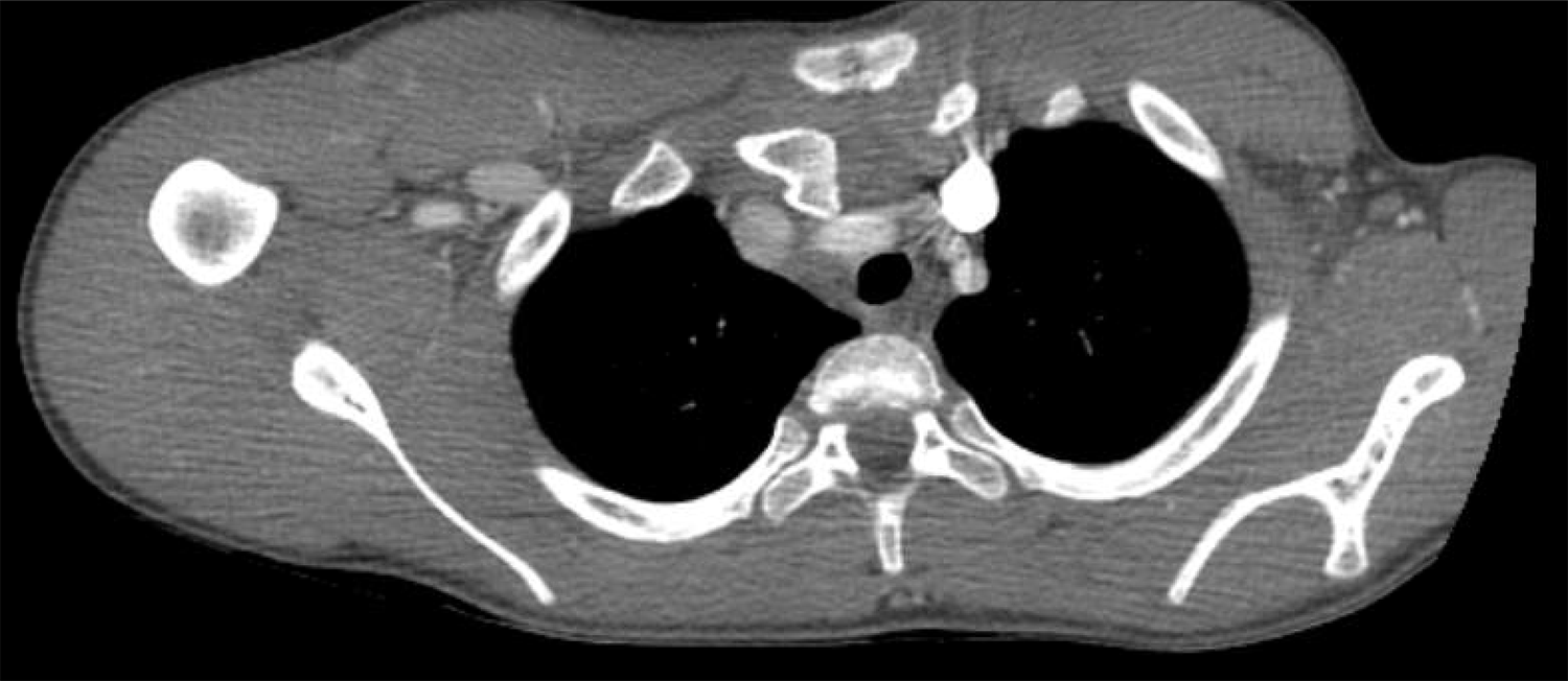
Kidney Anchor Art.jpg
Unintentional injury is a major cause of morbidity and mortality in the pediatric age group, with urogenital injury occurring in 10-20% of blunt abdominal trauma cases.1,2 Depending on the severity, s
46-6 Performance Enhancing Drugs.jpg
Go beyond the classically considered androgenic hormones. This review describes some of the non-steroidal PEDs of abuse that may present to the emergency department setting and potential challenges in
46-5 Sports Gang Violence.jpg
Can participation in sports programs reduce the chances of delinquent behavior in school-age children? A sports medicine fellow weighs in.
45-6 Exertional Rhabdo.jpg
Exertional rhabdomyolysis is a pathologic condition caused by muscle breakdown. It is a rare condition but one that can cause significant morbidity and mortality among athletes.
45-5 Concussion Management.jpg
An important question still being researched is how much rest to prescribe after a concussion. With the advent of active rehabilitation, along with other techniques, we can better manage our concussio
45-5 Heat Related Illness.jpg
The best treatment for heat-related illnesses is public education and prevention. How can you help from your ED?
45-4_Winter ACL Injuries.jpg
Working in a busy ski clinic brings a variety of sports medicine injuries into focus. When your patient is a downhill skier, knee injuries are the most common injury you'll see.