Top 10 EM Resident Articles of 2025

ECG Challenge
Reading ECGs is one of the trickiest but most crucial skills you must master in EM – and then you must practice constantly. We love how many of you are staying fresh, courtesy of our ECG Challenge!
Read Article

STEMI Equivalents: Can’t-Miss Patterns
STEMI equivalents represent coronary occlusion without meeting the traditional STE criteria. It's important to recognize these patterns in a timely fashion.
Read Article

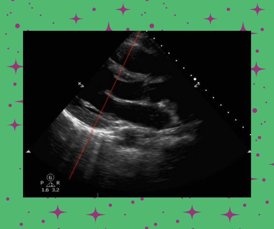
Advanced Critical Care Ultrasound: E-Point Septal Separation to Estimate Left Ventricular Ejection Fraction
Emergency physicians have been shown to be accurate at visual estimation of the left ventricular ejection fraction without quantitative measurements. However, there is still value in a quick and easy quantitative measurement of the LVEF.
Read Article

How to Approach the Pediatric Elbow
Here it is: the dreaded pediatric elbow. Is it a fracture? An ossification center? Shouldn't there be a bone there? By using a systematic approach to reading elbow x-rays, you can begin to feel more confident and adept at evaluating the subtle signs of pediatric fractures.
Read Article

Critical Care Device Series: Arterial Lines Part 2 - Waveforms and Damping
Arterial lines are helpful tools for monitoring hemodynamics and maintaining easy access for frequent lab draws in the critically ill patient. Interpreting the waveform of the arterial line is necessary for understanding how to use the data it provides to best take care of patients. Additionally, knowing how to troubleshoot a malfunctioning arterial line is a crucial skill for emergency medicine physicians.
Read Article

Take a HINT on Central Vertigo in the Emergency Department
Differentiating benign peripheral conditions from central nervous system lesions like strokes can be difficult. Enter the HINTS exam - the objective measure.
Read Article

The Crashing Patient with Critical Aortic Stenosis
Critical aortic stenosis (AS) is the single most problematic valvular disease we encounter in the emergency department. Patients with critical AS have a fixed cardiac output and cannot meaningfully increase cardiac output to meet the physiologic demands of critical illness. Avoiding systemic hypotension, maintaining sinus rhythm, and avoiding excessive tachycardia are therefore the cornerstones of resuscitation.
Read Article

Critical Care Device Series: Transvenous Pacemaker
Temporary transvenous pacemakers (TTVPs) are one of the most infrequently performed procedures by emergency physicians; however, it is essential for those working in any setting with critically ill patients to be well-equipped to perform this procedure emergently.
Read Article

Post-Intubation Sedation in the ED: The Basics
Emergent intubation requires critical thinking and precision. The same level of care should be extended to managing post-intubation sedation. This summary explores the most commonly used analgesics and sedatives and examines how to pick the best post-intubation strategy for your patient.
Read Article

How to Manage MDMA Toxicity
If you ask people who frequent music festivals, concerts, and clubs, they’ll tell you MDMA (aka ecstasy or molly) is a “safe” drug. If you see the results of MDMA toxicity, you might disagree.
Read Article
